diverse Duminica Dimineata – Iunie 2, 2024 3 iunie 2024 by Echipa Club S&T | Leave a Comment Read more » dimineata duminica iunie
diverse O femeie s-a tot îmbătat deși nu a băut. Ciupercile din intestinul ei își făceau propriul alcool. 3 iunie 2024 by Echipa Club S&T | Leave a Comment Drojdia de bere, ilustrată aici, poate uneori să crească excesiv în intestinul uman și să fermenteze zahărul, producând alcool în organism. (Credit imagine: Love Employee prin Getty Images) O femeie a ajuns în camera de urgență cu somnolență excesivă, vorbire neclară și miros de alcool pe respirație, dar nu ingerase nici măcar o picătură de […] Read more »
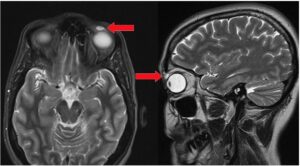
diverse 32 de cazuri medicale neobișnuite 3 iunie 2024 by Echipa Club S&T | Leave a Comment Două scanări ale creierului (una din vârful capului femeii și una din lateral) arătând micul chist din pleoapa ei. Săgețile roșii indică chistul. (Credit imagine: BMJ Case Reports 2018) Corpul uman continuă să surprindă medicii, care raportează că au întâlnit pacienți cu afecțiuni rare sau abilități unice. În această listă, aruncăm o privire la 32 […] Read more »
diverse Marte este mai predispus la impacturi devastatoare de asteroizi decât am crezut, indică un nou studiu 3 iunie 2024 by Echipa Club S&T | Leave a Comment Un crater de impact relativ tânăr observat de Mars Reconnaissance Orbiter al NASA. Marte s-ar putea confrunta cu de două ori mai multe impacturi devastatoare de meteori decât Pământul, arată o nouă cercetare. (Credit imagine: NASA/JPL-Caltech/Univ. of Arizona) Marte s-ar putea confrunta cu mai mult de două ori mai multe întâlniri apropiate cu asteroizi potențial […] Read more »
diverse Fotografia spațială a săptămânii: telescopul James Webb observă o galaxie care scoate stele în timpul suplimentar 3 iunie 2024 by Echipa Club S&T | Leave a Comment Galaxia pitică NGC 4449, văzută de telescopul spațial James Webb. (Credit imagine: ESA/Webb, NASA & CSA, A. Adamo (Universitatea din Stockholm) și echipa FEAST JWST)) Ce este: Galaxia pitică NGC 4449, numită și Caldwell 21 Unde este: La 12,5 milioane de ani lumină distanță, în constelația Canes Venatici („câinii de vânătoare”) Când a fost distribuit: […] Read more »
diverse De ce sunt atât de mulți egipteni antici îngropați la necropola Saqqara? 3 iunie 2024 by Echipa Club S&T | Leave a Comment Piramida în trepte a lui Djoser este construită la Saqqara. (Credit imagine: Shanna Baker/Getty Images) Saqqara este visul unui arheolog, fiind adăpostul unui număr mare de mumii, morminte și aproximativ o duzină de piramide ale Egiptului antic. În fiecare an, cercetătorii descoperă noi descoperiri pe site, inclusiv măști de mumie, Cartea morților și chiar ateliere […] Read more »
diverse #unforgottennighttheseries [LIBRO CAP. 25] #YoonTon #BOYSLOVE #thailand 3 iunie 2024 by Echipa Club S&T | 3 comentarii la #unforgottennighttheseries [LIBRO CAP. 25] #YoonTon #BOYSLOVE #thailand ❤️❤️NUEVO LIBRO ❤️❤️ AMOOOOOO TODO EL LIBROO !!! DIME TU PARTE FAVORTITA FELICES FIESTAAS !!! Read more »
diverse UNNE CORRIENTES vs SAN LUIS HANDBALL 2 iunie 2024 by Echipa Club S&T | 1 comentariu la UNNE CORRIENTES vs SAN LUIS HANDBALL NACIONAL ADULTOS “C” Read more » corrientes san unne
diverse TEORÍA #6 Manejo quirúrgico de TBC 2 iunie 2024 by Echipa Club S&T | Leave a Comment Read more » tbc
diverse Ceremonia Legado Odontológico 2 iunie 2024 by Echipa Club S&T | 1 comentariu la Ceremonia Legado Odontológico Carrera de OdontologíaFacultad de Ciencias de la Salud —-Sigue a la Universidad Adventista del Plata en las redes sociales: 💻 Sitio: https://uap.edu.ar/ 📷 Instagram: @uapargentina 👍🏻 Facebook: facebook.com/uapargentina 🐦 Twitter: twitter.com/UAPArgentina 🎥 Youtube: www.youtube.com/uapargentina #UAPargentina Read more » ceremonia legado