diverse „Acest lucru trebuie să se întâmple rapid”: oamenii de știință aleargă la criopreserve un copac pe cale de dispariție critică înainte de a dispărea 16 septembrie 2025 by Echipa Club S&T | Leave a Comment Oamenii de știință sunt crioprezervând o specie de copaci pe cale de dispariție critică. (Credit de imagine: Jingyin Bao, cu finanțare de la Logan Local Council și Australian Research Council Linkage Program (LP210200907)) Oamenii de știință din Australia înghețează profund vârfurile de tragere ale unui copac pe cale de dispariție critică pentru a-și păstra ADN-ul […] Read more »
diverse „O surpriză autentică”: asteroid aproape de pământ Ryugu a avut odată „apă curgătoare” care i-a transformat interiorul 16 septembrie 2025 by Echipa Club S&T | Leave a Comment O imagine apropiată a asteroidului Ryugu. O nouă analiză a eșantioanelor din rocile spațiale sugerează că apa care curge odată curgea prin interiorul său. (Credit de imagine: ISAS/JAXA, CC de 4.0, prin Wikimedia Commons) Oamenii de știință din Japonia cred acum că apa lichidă a curgeând odată prin inima asteroidului aproape de pământ Ryugu, după […] Read more »
diverse „Ochii googly” vulcanici se uită în spațiu din peninsula asemănătoare craniului-Pământul din spațiu 16 septembrie 2025 by Echipa Club S&T | Leave a Comment O pereche de lacuri vulcanice de pe peninsula Chiltpe din Nicaragua Lacul Managerii arată surprinzător ca o pereche de ochi atunci când sunt priviți din spațiu. Dar arată complet diferit de nivelul gound. (Credit de imagine: program NASA/ISS) Fapte rapide Unde este? Peninsula Chiltpe, Lacul Managua, Nicaragua[[12.236943676, -86.34017745] Ce este în fotografie? Două lacuri vulcanice […] Read more »
diverse Cele mai vechi mumii din lume au fost uscate cu fum acum 10.000 de ani în China și Asia de Sud-Est, cercetătorii găsesc 16 septembrie 2025 by Echipa Club S&T | Leave a Comment Rămășițele unui bărbat de vârstă mijlocie care a fost mumificat și îngropat în urmă cu mai bine de 9.000 de ani în Guangxi, China. (Credit de imagine: Yousuke Kaifu și Hirofumi Matsumura) Cele mai vechi mumii umane cunoscute din lume au fost create de cadavre de uscare a fumului acum 10.000 de ani în sud-estul […] Read more »
diverse Lampa de ulei în vârstă de 1.900 de ani, care a furnizat „lumina în călătoria către viața de apoi” găsită în cimitirul roman din Olanda 16 septembrie 2025 by Echipa Club S&T | Leave a Comment O lampă cu ulei roman cu un decor unic a fost găsită într -un mormânt. (Credit de imagine: BAAC / RAAP) În timp ce săpați un masiv român Cimitirul din Olanda, arheologii au descoperit o lampă de ulei neobișnuită care poate înfățișa zeul antic al vinului. „Gaura de umplere”, unde ar fi fost turnat ulei, […] Read more »
diverse Oamenii de știință măsoară „lovitura natală” care a trimis o gaură neagră pentru bebeluși care se îngrijea de spațiu pentru prima dată 16 septembrie 2025 by Echipa Club S&T | Leave a Comment O animație a două găuri negre care se îmbină (Credit de imagine: SXS) Oamenii de știință au măsurat viteza reculului dintr -o coliziune cataclismică între două găuri negre pentru prima dată. Undele gravitaționale sunt ondulări în spațiu-timp propus pentru prima dată să existe de Albert Einstein și Detectat pentru prima dată în 2015. Un alt […] Read more »
diverse Virusul „păpușii cuibului rusesc” se ascunde într -o ciupercă mortală, ceea ce îl face și mai periculos pentru oameni 15 septembrie 2025 by Echipa Club S&T | Leave a Comment Fungusul prealabil Aspergillus fumigatus Câștigă mai multe avantaje de supraviețuire atunci când transportați un virus specific, constată cercetarea. Aici, culturile afișate în dreapta sunt infectate cu virus, în timp ce cele din stânga sunt neinfectate. (Credit de imagine: amabilitatea lui Marina Campos Rocha) O ciupercă semnalizată ca un Preocuparea „critică” de către Organizația Mondială a […] Read more »
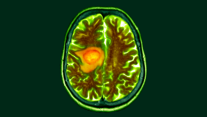
diverse Schimbarea dietei ar putea face cancerul cerebral mai ușor de tratat, indicii de studiu timpuriu 15 septembrie 2025 by Echipa Club S&T | Leave a Comment Oamenii de știință au descoperit un mod unic în care Glioblastomul de cancer cerebral se bazează pe serină, un aminoacid. (Credit de imagine: Dr. P. Marazzi/Science Photo Library prin Getty Images) O schimbare dietetică poate face ca glioblastomul cancerului creier fatal să fie mai vulnerabil la terapiile de cancer, sugerează un nou studiu. Cercetătorii din […] Read more »
diverse Revizuirea Tracker Fitness Suunto Run-Lumină, plină de caracteristici și la un preț rezonabil 15 septembrie 2025 by Echipa Club S&T | Leave a Comment Live Science Verdict Suunto Run este o opțiune de top dacă doriți un sport și un ceas de alergare plin de caracteristici care nu costă o avere. Este mult dincolo de elementele de bază, deși este departe de cea mai bună clasă în exactitatea citirilor sale de frecvență cardiacă în timpul exercițiului fizic. PRO + […] Read more »
diverse Potențial locuibil, exoplanet de dimensiuni de pământ, trappist-1e poate avea o atmosferă, James Webb Telescope indică indicii 15 septembrie 2025 by Echipa Club S&T | Leave a Comment O ilustrare a sistemului Trappist-1, cel mai studiat sistem de stele din afara noastră. (Credit imagine: Ilustrație: NASA, ESA, CSA, STSCI, Joseph Olmsted (STSCI)) Noi cercetări folosind cei puternici JWST Telescop a identificat o planetă la 41 de ani lumină, care poate avea o atmosferă. Planeta se află în interiorul „Zona locuibilă”regiunea din jurul unei […] Read more »